MRI
Back to NYU today for a follow up MRI and appointment with our neurologists, Dr. Singh and Dr. Devinsky. Lincoln was amazing for his mri - he always is. He amazes me in there. I had to be pulled out of my mri on two occasions this summer because I was FREAKING OUT. He fell asleep in it today. I-ain't-tellin'-no-stories, truly fell asleep and had to be woken up.
Crazy.
It was great to see our doctors again. Not a whole lot to report though. Here's the deal: Lincoln will have a blood level drawn soon to see if his Carbitrol level is very high. If it is he'll be weaned down to 300mg/am and then 400mg/pm, down from 2x400mg. That's not exactly the drop in meds we were hoping for. The doctors want to wean him VERY,VERY slowly due to the nature of his (former) seizures. "Status" is a very serious word in the seizure community and they don't want to face even the tiniest risk of his status seizures returning. Neither do we, of course, but it was just so easy to forget how serious they were. So there's no playing around here. He might stay on meds for life.
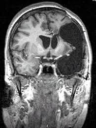
We saw the pictures of his mri.
Next step: In about two months Lincoln will be hooked up to an ambulatory eeg. He will be hooked up at NYU and then allowed to come home with this device reading his brain activity for several days. This is so much better than being hooked up to the wall at NYU - kind of like a dog on a leash. Really, really hope those days are behind us.
I guess the biggest realization that I came away with today was - that it's not over. It's not that simple. We have to take our cues from the experts, and they're still watchful and 'cautiously optimistic'.
But we're going on eight months without a seizure. That's a pretty good sign.

Okay so while I understand the cautiously optimistic view the professionals have I am going to concentrate on the eight months and counting with no seizures. I will put all my thoughts to the universe for more,no, many more 'free' months!!!
ReplyDeleteThanks for keeping us updated and as always you are all in my thoughts and prayers.
xo
Hello Auntie - and while you are praying for our guy we are praying for you and yours (gal or guy). How are you feeling? We keep waiting for a call...you can't drop any lower it would seem - someone's got to help you carry that watermellon. We love you and CAN'T WAIT!
ReplyDelete